Full-Mouth Reconstruction in Houston, TX
Full-Mouth Reconstruction Near You
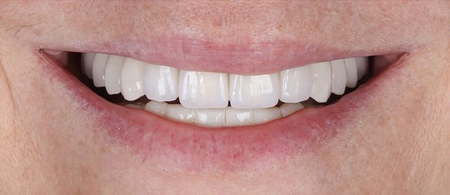
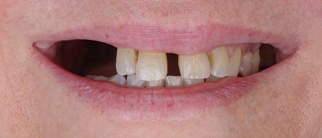
Get a full, youthful smile again. When several of your teeth are missing or if they are broken, it doesn’t just impact your appearance; it can affect your ability to eat, talk, and even how you think about yourself. At Houston Uptown Dentists, our compassionate team will help restore not only your smile but also your confidence and quality of life. With a full-mouth reconstruction in Houston, TX, we use current methods and personalized approaches to renew your ability to look and feel your best.
What is Full-Mouth Reconstruction?
A full-mouth reconstruction is a complete treatment plan that rebuilds or replaces all your teeth. A full-mouth reconstruction focuses on your entire mouth rather than one area. Our dentist in Houston, TX, focuses on using a combination of restorative and cosmetic dental procedures to give patients:
Strong, functional teeth for enjoying your favorite foods again
Advanced Options to Rebuild Your Smile
Dental implants
This is a standard for replacing missing teeth. A dental implant acts as a natural tooth root to create function, strength, and stability. Once you have a dental implant, it can hold a dental crown, a dental bridge, or an implant-supported denture. You are even able to get a dental implant and new teeth all in the same day in some situations.
Dental crowns
If you have damaged or weakened teeth, dental crowns can be used to cover and protect a tooth while restoring the tooth to its natural appearance.
Dental bridges or partial dentures
Dental bridges or partial dentures are great for filling in gaps caused by the loss of one or more teeth.
Full Custom Dentures
If you need a complete set of teeth replaced, we offer quality full custom dentures built to function well, look good, and feel comfortable.
The Process of Full-Mouth Reconstruction
Consultation & Exam
Personalized Plan
Pre-Treatment Care
Restorative Procedures
Final Adjustments
Ongoing Maintenance
Why Choose Houston Uptown Dentists?
When searching for the best full mouth reconstruction in Houston, TX, you want to find a practice that has skill, the latest technology, and a commitment to providing each patient with a caring touch. At Houston Uptown Dentists, we have restored the smiles of hundreds of patients and allow you to just enjoy life without stressing about your dental work. We also allow you to book as early as 7 am. We will provide you with free parking, and you can relax with headphones, 3-D video glasses, or Netflix during your next visit.
If your search for a committed and trusted dental practice is done, let us know, and we will take great care of you with our dental team at Houston Uptown Dentists.
Take the First Step Toward Your New Smile
You can have the stronger, healthier, more beautiful smile you desire. Call Houston Uptown Dentists now at (713) 622-6112 to schedule your consultation. You will discover how a full mouth reconstruction near you can change your smile forever and change your life. You can even submit your request for an appointment online for added convenience.
